Unsere Leistungen
Wir bieten eine breite Palette von professionellen Dienstleistungen an, um Ihre Bedürfnisse zu erfüllen. Wir versprechen, jeden Service mit einem Lächeln und zu Ihrer höchsten Zufriedenheit zu erbringen.
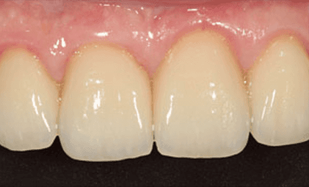
Idealisierung von Front-und Seitenzähnen mit Keramikschalen (Veneers)
Patient wünscht Verbesserung der Ästhetik
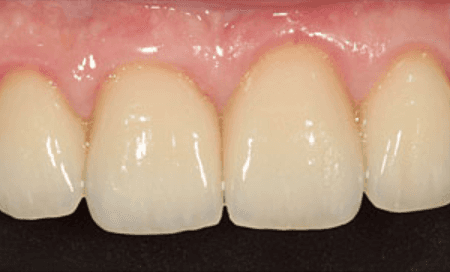
SchaltflächeEndsituation nach Aufbringen der Veneers
SchaltflächeEin kleiner Einblick in unsere Leistungen
-
Vollkeramikbrücke
-
Teleskopprothese im Unterkiefer mit Knopfankern aus Nichtedelmetall
-
Implantatbrücke auf 6 Implantaten im Oberkiefer aus Zirkonvollkeramik fest verschraubt
-
Detailaufnahme der Frontzähne der Implantatbrücke auf 6 Implantaten
Detailaufnahme der Frontzähne
-
E.max Vollkeramikteilkrone auf seitlichem kleinen Schneidezahn (zweiter von links) angepasst an die natürlichen Frontzähne
-
Rohbrandanprobe von 4 e.max Vollkeramikkronen




